Le suivi de grossesse comprend les rendez-vous avec votre professionnel de la santé, les prises de sang, analyses d’urine et prélèvements vaginaux, une ou plusieurs échographies et des tests de dépistage, dans certains cas. Les visites régulières permettent au professionnel de la santé de vérifier que votre grossesse se déroule bien et de dépister certains problèmes qui.. L’échographie du 2ème trimestre de la grossesse est à réaliser entre 21 et 25 SA, le terme idéal étant 22 semaines d’aménorrhée ou 20 semaines de grossesse. Cette échographie est particulièrement émouvante parce que c’est la première fois que la femme enceinte ou le couple voit distinctement son bébé.

La première échographie Les dessous de la PMA

Grossesse semaine 5 Echographie 5ème semaine le haricot … Flickr

Early pregnancy scan ultrasound 5 weeks gestation YouTube

Grossesse gémellaire biamniotique bichoriale 7,5 SA

Échographie à la 5e semaine de grossesse (21 photos) taille du fœtus, ce que l’on peut voir et

Type d’échographies pratiquées

5 Weeks Pregnant Your Baby & You During Week 5 of Pregnancy Emma’s Diary

Échographies de grossesse de sagesfemmes 9 lunes Bordeaux, Lormont

5ème semaine de grossesse

Echographie de grossesse de jumeaux d’échographie Sud Loire

Quinta settimana di gravidanza Gravidanza settimana per settimana

5ème semaine de grossesse sensations abdominales

Embryon à 5 semaines d’aménorrhée YouTube

Pin by Rixt de Winter on obstetrie Diagnostic medical sonography, Medical radiography

Développement du fœtus 5 semaines de grossesse BabyCenter

Surprise

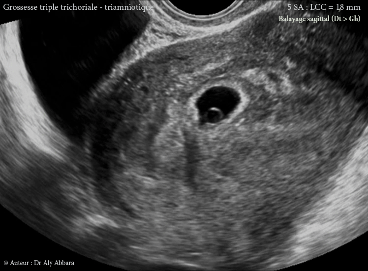
Grossesse multiple triple évolutive trichoriale triamniotique de 5 SA

Echographie quand fautil en faire, et pourquoi

Suivi de grossesse combien d’échographies

Grossesse gémellaire, monozygote, monochoriale biamniotique à 11 SA Échographie
5 Protocoles d’examen Selon le nombre de semaines de grossesse, trois protocoles sont appliqués: Échographie obstétricale 1er trimestre (de 0 à 15 semaines) À cette étape, l’échographie a pour but de déterminer le nombre de foe-tus, leur âge et leur viabilité. Une étude morphologique limitée est éga-lement faite.. Le fœtus à 5 semaines de grossesse. A 5 semaines de grossesse, (7 semaines après le début de vos dernières règles), l’embryon mesure 6 mm : la taille d’un pépin de pomme ! Sa tête se sépare du corps, mais reste plus grosse proportionnellement. Sa petite queue disparaît et ses bras et ses jambes continuent de s’allonger.